Восприятие вкуса можно сравнить с музыкальной симфонией, где текстура играет важную роль, создавая тот неуловимый ритм, который придаёт блюдам особое звучание. Именно текстура выделяет обычный соус, превращая его в настоящий шедевр — будь то...
Новости
В уюте своей кухни, когда первые лучи солнца освещают пространство, начинается процесс, который нельзя назвать простым приготовлением. Это искусство варки времени, где каждая деталь — от лепки вареников до обжаривания оладий — становится...
Ачма — это не просто пирог, а настоящая кулинарная традиция Грузии, напоминающая многослойное чудо, где каждый слой теста словно живет своей жизнью. Уникальность ачмы заключается в ее текстуре: при нарезке выглядят как ажурное кружево, а при жарке —...
Если вы ищете интересный способ приготовления кальмаров, этот рецепт станет настоящим открытием. Фаршированные кальмары, которые просто тают во рту, идеально сочетая в себе рис и яйца, способны удивить даже самых требовательных гурманов.
Ингредиенты...
В мире ресторанов есть заведения, которые, словно танки, движутся к успеху: новаторы Новиков и Раппопорт, маститые Деллос и WRF — настоящие короли гастрономической сцены. Затем идут талантливые, но эксцентричные шефы, как Турейкис и Ляпидевский...
Минтай, являясь доступным и простым продуктом, может стать основой для восхитительного ужина (или обеда), приготовленного всего за полчаса. Это блюдо не только бюджетное, но и обладает уникальным вкусом. В процессе готовки рыба становится невероятно...
Когда в мире уже закончились праздничные фейерверки, в Китае только начинается самый ожидаемый праздник — Лунный Новый год. Для китайцев это не просто повод поесть, а целый ритуал, в котором каждое блюдо наполнено глубоким смыслом и символикой...
Перекусы — это частый выбор, когда на полноценный обед просто нет времени. Однако стремление к сбалансированному питанию остается важным. Часто именно перекусы становятся причиной соблазна съесть что-то вредное, например, чипсы или...
Финики, часто называемые «природными сладостями», становятся все более популярной альтернативой традиционному сахару. Но что произойдет с организмом, если полностью убрать сахар и сладости из рациона, заменив их финиками? Рассмотрим плюсы...
В каждой жизни наступает момент, когда мы наконец начинаем дышать на полную грудь, освобождая себя от лишних оков и социальных ролей. Этот момент может быть волшебным, когда чувства становятся яркими, а желания — понятными.Многие родители испытывают...
Морковь — один из тех овощей, которые находят свое место на кухне почти каждого. Эта яркая и питательная корнеплодка не только полезна, но и значительно разнообразит рацион. Неотъемлемая составляющая супов и салатов, она также отлично подходит в...
Время пятницы, когда каждый день становится поводом для радости и веселья. Вы когда-нибудь сталкивались с тем, как ваши дети радуют вас своими кулинарными экспериментами? Да, именно так, иногда...
Говяжьи ребра — это не просто мясо, это возможность раскрыть свои кулинарные таланты. Чтобы получить действительно вкусное и сочное мясо, нужно следовать нескольким простым правилам. Главное — это правильные ингредиенты и техника...
Для любителей кулинарных экспериментов настало время погрузиться в мир домашней пиццы! Этот рецепт порадует как опытных шеф-поваров, так и новичков на кухне. Запах дрожжевого теста, смешанного с ароматом колбасы и...
Минтай – это не только доступная по цене, но и очень вкусная рыба, обладающая богатым набором полезных веществ. Мало кто откажется от легкого и питательного блюда из этой морской рыбки. Из минтая можно приготовить множество блюд, однако иногда...
Ищете способ порадовать себя и близких вкусными лакомствами? Попробуйте приготовить веганские синабоны — великолепные постные булочки с корицей, которые подойдут для любого времени суток!
Что потребуется 55 г рисовой муки (и немного для раскатки) 55...
С приближением Пасхи тема яиц вновь становится актуальной. Рассмотрим, что нужно учитывать перед их употреблением.
Польза яиц
Яйцо является важным источником полноценного белка, усваиваемого на 98%. Его аминокислотный состав близок к...
Каждое утро приносит свои сюрпризы: иногда хочется приготовить что-то особенное для семьи, а иногда важна каждая секунда. В таких случаях на помощь приходят быстрые рецепты, которые позволят накормить домочадцев...
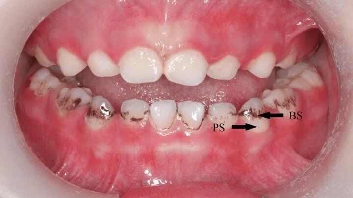
Специалисты из Пенсильванского университета сделали неожиданное открытие: микробы, вызывающие кариес, способны передвигаться по зубным поверхностям, используя грибки. Эти хитроумные организмы образуют нечто вроде суперорганизмов, где грибы...
Ужин без углеводов — это легко и вкусно! В этот раз на столе будет куриный шницель и изысканные кабачки в сметанном соусе с чесноком и зеленью, пишет канал.
Приготовление куриного шницеля
Чтобы создать отличный куриный шницель, процесс готовки...








































